Emirati child’s curved back straightened out

A nine-year-old Emirati girl received a revolutionary new magnetic rod treatment for scoliosis in Abu Dhabi, after her parents brought her back from the US where she was receiving care.
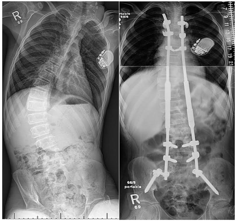
The MAGnetic Expansion Control (MAGEC) rod treatment, which, after the first surgery, is a non-invasive method of treating scoliosis using magnets, is a new alternative to painful invasive spinal surgeries according to Dr. Yaqoob al Hammadi, the Chair of the Orthopaedic Department and Deputy Chief Medical Officer at the Abu Dhabi-based Sheikh Khalifa Medical City (SKMC), where the procedure was carried out.
"SKMC is the only hospital offering scoliosis surgery in general in the UAE, and in line with its philosophy of providing cutting edge treatment to the residents of Abu Dhabi, the MAGEC rod treatment - which is new across the globe - will continue to elevate patient care and outcomes in the country, benefitting our young scoliosis sufferers," Dr. al Hammadi said.
Similar to conventional growing rod treatment, the MAGEC telescopic rods are surgically fixed to the patient's spine in order to brace and straighten it during growth. The difference, however, is one that could save several painful invasive surgeries as the patient grows.
A total of four surgeries have now been successfully completed, with the first ever in the country being conducted on a 13 year old boy.
"This type of treatment benefits young scoliosis sufferers. Rather than keep the patient coming back for major, painful surgeries to lengthen the rods as the child grows, the new procedure uses magnets and an external remote control non-invasively, and saves not only time and money, but significant traumatic experience to those young patient and their families," said Dr. Zaid Al Aubaidi, a Royal Danish Board-certified Paediatric Orthopaedic and Spinal Surgeon at SKMC, who performed all four surgeries.
According to Dr. Al Aubaidi, as many as 15 babies are born each year with scoliosis in the country.
"We've already gone on to complete more successful surgeries using this treatment, and we are confident that many more patients can benefit from this innovative option. There is a misconception amongst residents here that they need to travel overseas for treatment, while the truth is that SKMC continues to offer the same treatments as Europe and the US with the same success rates," added Dr. Al Aubaidi.
SKMC, managed by Cleveland Clinic, is part of the Seha HealthSystem and owned and operated by Abu Dhabi Health Services Company (Seha).